4d Dermaden

What is Gum Disease ?

Gum disease, also known as periodontal disease, is a bacterial infection that affects the gums and supporting structures of the teeth. If left untreated, it can lead to tooth loss and other serious health complications.

Signs and Symptoms of Gum Disease

  • Red, swollen, or bleeding gums

  • Persistent bad breath

  • Receding gums

  • Loose or shifting teeth

  • Pain while chewing

Effective Gum Disease Treatments

1. Professional Cleaning (Scaling & Root Planing)

A deep cleaning procedure that removes plaque and tartar from below the gumline to promote healing and prevent further infection.

2. Medications & Antibiotics

Topical or oral antibiotics may be prescribed to control bacterial infection and reduce inflammation.

3. Laser Therapy

A minimally invasive treatment that uses laser technology to remove infected tissue and promote gum regeneration.

4. Surgical Treatments

  • Flap Surgery (Pocket Reduction Surgery): Reduces deep gum pockets to prevent bacteria buildup.

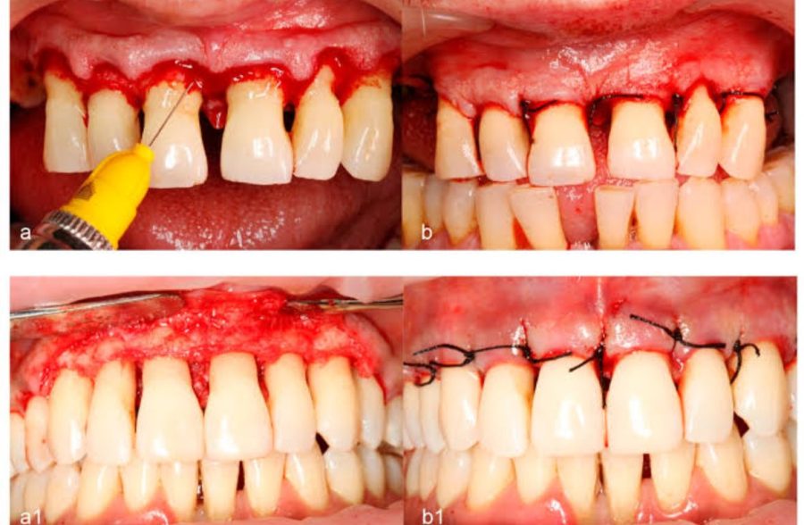
  • Gum Grafts: Restores receding gums by grafting tissue from another part of the mouth.

  • Bone Grafts: Encourages bone regrowth in severe cases of bone loss due to gum disease.

Preventing Gum Disease

  • Brush and floss daily to remove plaque.

  • Use an antiseptic mouthwash to reduce bacteria.

  • Maintain regular dental check-ups and professional cleanings.

  • Avoid smoking and maintain a healthy diet to support gum health.

Get Expert Gum Disease Treatment Today!

Early treatment is key to preventing severe gum damage. Schedule a consultation with our experienced dental team to restore your oral health and protect your smile.